
GLOUCESTER — A new paper in Scientific Reports led by researchers at William & Mary’s Virginia Institute of Marine Science challenges increased salinity and seawater temperatures as the established explanation for a decades-long increase in the prevalence and deadliness of a major oyster disease in the coastal waters of the mid-Atlantic.
Dr. Ryan Carnegie, the paper’s lead author, says “We present an entirely new lens through which we can view our last 35 years of oyster history in the Chesapeake Bay region. We now know the great intensification of Dermo disease in the 1980s wasn’t simply due to drought. It was more fundamentally due to the emergence of a new and highly virulent form of Perkinsus marinus, the parasite that causes Dermo.”
In an unusual twist, the team’s evidence suggests that transformation of this native parasite was in response to evolutionary pressures brought by the impacts of another, non-native oyster parasite known as MSX, first seen in Bay waters in 1959. Dermo’s mid-80s rise in virulence, along with decades of overharvesting, habitat destruction, and the earlier devastation of MSX, brought the Bay’s traditional oyster fishery to a historic low.

Carnegie says his team’s findings can help better manage the Bay’s modern oyster industry, which is now on the upswing due to disease-resistant aquaculture strains, reef restoration, and limits on the wild harvest. “The lesson,” he says, “is that pathogens like P. marinus are highly dynamic, and our disease surveillance must be attentive to any changes that may occur. This includes the emergence of more virulent strains, or variants that may have different forms or life histories than we expect. Management should be continually tuned to any changes in disease dynamics.”
The team’s findings also give scientists and fishery managers a better understanding of the “rock-bottom” era for Bay oysters between the late 1980s and early 2000s. “The oysters reached this level of devastation not because they were unable to deal with Dermo after decades, if not centuries or millennia, of exposure,” says Carnegie. “They hit rock bottom because they were challenged with a brand-new form of the parasite, and needed time to adapt. And. now they are adapting, which is key to the oyster’s recent recovery in the region.”
Along with Carnegie, the paper’s other authors are the late Susan Ford of Haskin Shellfish Research Laboratory at Rutgers University; Peter Kingsley-Smith of the South Carolina Department of Natural Resources; and Rita Crockett, Lydia Bienlien, Lúcia Safi, Laura Whitefleet-Smith, and Eugene Burreson of VIMS. Funding for the study comes from the VIMS Foundation A. Marshall Acuff Sr., Memorial Endowment for Oyster Disease Research. The research is available online at https://rdcu.be/cmMJM.
Evidence for a more virulent Dermo parasite
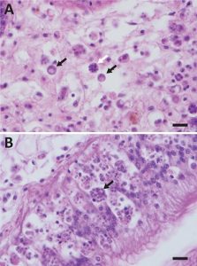
Dermo disease results when the eastern oyster Crassostrea virginica is infected by the protozoan parasite Perkinsus marinus. Infected oysters grow more slowly, exhibit poorer body condition, and reproduce less successfully than their healthy counterparts. Severe infections lead to oyster death and release of parasites into the surrounding water, potentially infecting other nearby oysters as they filter water for food. The disease does not affect people who eat the shellfish.
Native to the Gulf Coast, Dermo was first recorded in the Chesapeake Bay in 1949, though it had likely been there far longer. Prior to the 1980s, it typically occurred as a chronic disease that killed about 30% of oysters annually, mostly older animals that had been exposed to the parasite for several years. But, says Carnegie, “Around 1986, Dermo suddenly became an acute and profoundly destructive disease capable of killing more than 70% of host oysters within months of infection.” The increased virulence of the Perkinsus parasite persists today.
Because the parasite’s infectiousness is known to increase with higher salinity, scientists initially attributed the mid-1980s spike in Dermo’s virulence to a multi-year drought that had struck the mid-Atlantic around that time, raising coastal salinities as freshwater input from rivers decreased. Increasing seawater temperatures also promote increased Dermo disease, and ocean warming has been blamed for the northward increase in Dermo’s range since the 1980s. As time passed, however, Carnegie and other researchers began to realize that salinity and temperature alone did not fully explain the lasting increase in Dermo infections and associated oyster mortality along the East Coast.
“We began to ask why more protracted and intense droughts in earlier years, before the 1980s, hadn’t produced a similar intensification of disease,” says Carnegie, “and why subsequent wet periods didn’t return the parasite to the low levels of infection characteristic of earlier years.”

Motivated by these questions, Carnegie and colleagues compared samples from modern Bay oysters with samples taken in 1960 and stored at VIMS, using paper-thin tissue slices glued onto slides for viewing under a microscope. Finding striking and unexpected differences, they then took a comprehensive look at more than 8,000 tissue samples collected from oysters in Chesapeake Bay, South Carolina, and New Jersey between 1960 and 2018.
“Our analysis,” says Carnegie, “clearly showed that a new parasite variant emerged between 1983 and 1990, concurrent with the historical mid-80s outbreaks of Dermo.” Changes included a shift in the infection site — from deeper connective tissues to the lining of the digestive tract — changes in reproductive strategy, and a sharp decrease in cell size. In Chesapeake Bay, they found the most pronounced change between oysters sampled in 1985 and 1986, when the modern variant increased in frequency from 22% to 99% of observations.

“The picture that emerges,” says Carnegie, “is the rise of a virulent new form of the Dermo parasite Perkinsus along the mid-Atlantic coast in the mid-80s, which dispersed from there and supplanted a form that previously had been widely distributed in Atlantic estuaries. While changes in pathogen virulence have been documented in other systems, the scope of changes we’ve seen, and their rapid spread across a wide area, is unusual.”
“Our work underscores the importance of long-term environmental monitoring,” he adds. “Without that, and the maintenance of associated natural history collections, this new perspective wouldn’t have been possible.”
Evolutionary pressures
The type of changes observed in the Dermo parasite suggest they represent a novel but predictable response to the devastating impacts of MSX, the disease caused by the non-native parasite Haplosporidium nelsoni, which was first reported in Bay waters in 1959. MSX killed more than 90% of Virginia’s farmed oysters by 1961, and slashed the harvest of planted oysters from 3,347,170 bushels in 1959 to 361,792 bushels by 1983, an estimated loss of 1.8 billion animals. This decrease was likely compounded by simultaneous losses from wild populations.
A parasite that quickly kills its host effectively destroys its own home. Over evolutionary time scales, natural selection thus often leads to an equilibrium between a native parasite and its host, marked by the type of minor, long-term Perkinsus infections and low rates of Dermo mortality historically observed in Chesapeake Bay oysters.
But when a new parasite arrives on the scene, that evolutionary balance may shift. Carnegie and his team speculate that the devastating arrival of the non-native, MSX parasite in Bay waters drastically disrupted the long-established equilibrium between Dermo and Crassostrea, directly leading to the new, more virulent form of the disease.
“A huge reduction in oyster abundance — like that caused by the arrival of MSX — would severely impact a parasite such as P. marinus that depends entirely on a single host,” says Carnegie. As evidence, he notes that Perkinsus declined sharply in abundance beginning in 1959; recent theoretical modeling underscores the possibility that an increase in parasite virulence could be a consequence of such reduction in host resources.
“The changes we saw in the Dermo parasite are likely adaptive with regard to the reduced oyster abundance and longevity it faced after rapid establishment of Haplosporidium nelsoni and MSX in 1959,” says Carnegie. “Our findings, we hypothesize, illustrate a novel ecosystem response to a marine parasite invasion: an increase in virulence in a native parasite.” An intriguing possibility is that the changes the researchers observed may represent a shortening of the Perkinsus life cycle, as it adapted to oysters with shorter life spans due to mortality from MSX.

