By Dr. Devin McClintock, DDS – Precision Dentistry of Williamsburg
For decades, tooth wear has often been dismissed as a normal part of aging. Many people assume it is inevitable, cosmetic, or only worth addressing once it becomes severe. Modern dentistry, however, is challenging that mindset. Tooth wear is not simply a cosmetic inconvenience, nor is it always the primary problem. More often, it is a symptom of something deeper.
Not all wear is created equally. But all wear deserves attention.
Wear Is a Sign, Not a Diagnosis
Tooth wear generally falls into two primary categories: frictional wear and chemical erosion.
Frictional wear occurs when teeth physically rub against one another. This may be due to clenching, grinding, misalignment, or an unstable bite. Over time, enamel thins, edges flatten, and teeth may appear shorter or more translucent.
Erosion, on the other hand, is chemical in nature. It results from exposure to acids, whether from diet, medical conditions such as reflux, or chronic dry mouth. Instead of sharp flattening, erosion often produces smooth surfaces and increased tooth sensitivity.
The distinction matters. Treating frictional wear in the same way erosion is treated misses the underlying cause. Wear is rarely the disease itself. It is the body signaling imbalance.

Why Nightguards Are Not Always the Full Solution
For years, nightguards have been considered the standard response to tooth wear. While protective appliances can play an important role, they are not always the complete answer.
Clinical observation increasingly suggests that many individuals wear their teeth during the day. Daytime clenching during stress, intense focus, exercise, or even driving may create as much damage as nighttime grinding.
If wear is primarily occurring during waking hours, a nightguard alone cannot fully address the habit. Without identifying when and why forces are being generated, the appliance may serve only as part-time protection rather than correction.
Comprehensive evaluation is essential. Understanding patterns of wear requires evaluating not just the teeth, but also lifestyle, stress patterns, airway health, and bite stability.
The Role of Alignment, Arch Form, and Anatomy
Tooth wear does not occur in isolation. Subtle discrepancies in arch form, tooth size, or alignment can concentrate force on specific teeth. When biting forces are unevenly distributed, certain teeth absorb more stress than they were designed to handle.
Crowding, narrow arches, or differences in tooth size between the upper and lower jaws can all contribute to accelerated wear. In these cases, orthodontic correction may reduce destructive forces more effectively than simply restoring worn surfaces.
When teeth are properly aligned and forces are balanced, enamel has a better chance of lasting a lifetime.

Sleep Disorders and Airway Considerations
Emerging research continues to explore the relationship between tooth wear and sleep disorders. In some patients, grinding may represent the body attempting to stabilize the airway during periods of obstruction.
If airway compromise or sleep apnea is contributing to clenching or grinding, addressing airway health may reduce destructive forces more effectively than an appliance alone.
This reinforces an important shift in perspective. Tooth wear may be a protective response rather than simply a harmful habit.
Diet, Acidity, and Modern Lifestyles
Dietary patterns also play a critical role. Frequent exposure to acidic beverages, energy drinks, flavored waters, or citrus based foods can soften enamel and make it more vulnerable to frictional damage.
When erosion and frictional wear occur together, the effects are amplified. Acid weakens the surface. Force removes it.
Understanding timing, frequency, and protective strategies such as remineralization protocols and saliva support becomes essential in preserving long term tooth structure.

A New Standard of Awareness
Modern dentistry calls for a shift from reactive repair to proactive diagnosis. Tooth wear should never be ignored, even when mild. Early intervention may involve behavior modification, orthodontic correction, dietary adjustments, airway evaluation, or carefully designed protective appliances.
The goal is not simply to replace what has been lost, but to understand why it was lost in the first place.
When wear is evaluated through a comprehensive lens, dentistry becomes less about repair and more about preservation. Healthy smiles are not defined by perfection. They are defined by balance, stability, and thoughtful prevention.
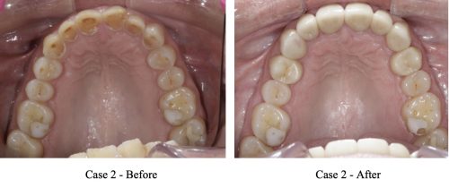
A Comprehensive Approach to Lasting Oral Health
At Precision Dentistry of Williamsburg, tooth wear is never viewed in isolation. Dr. Devin McClintock and her team approach every case with a comprehensive lens, evaluating bite stability, alignment, airway health, dietary factors, and lifestyle habits before recommending treatment. The goal is not simply to restore the tooth structure that has been lost, but to understand the underlying cause and create a plan that protects the smile for decades to come.
Through advanced diagnostics, detailed photography, and individualized treatment planning, patients gain clarity about what is happening in their mouth and why. Whether the solution involves orthodontic therapy, airway evaluation, protective appliances, restorative refinement, or simple habit modification, care is designed to support long term health and stability.
Because true dentistry is not just about repairing teeth. It is about preserving function, protecting biology, and helping patients make informed decisions that allow their smiles to remain strong, comfortable, and confident for a lifetime.
Sponsored Content by


